病例分享|「零骨吸收」中科安齿无牙颌种植病例3年随访
病例简介

病例详情
患者信息
男性,65岁(种牙时年龄),退休
主诉:上牙松动半年,不能进食
现病史:患者上牙逐渐松动,近半年进食不适,前来就诊,要求固定修复
既往史:无特殊
治疗过程

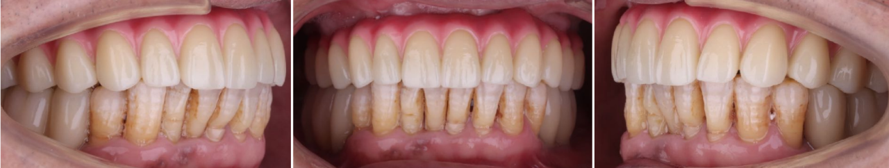
口外检查:面部对称无偏斜,面下1/3垂直高度正常,口角无偏斜,鼻唇沟加深,中线略偏右侧。低位笑线,前牙开唇露齿。开口度正常范围。


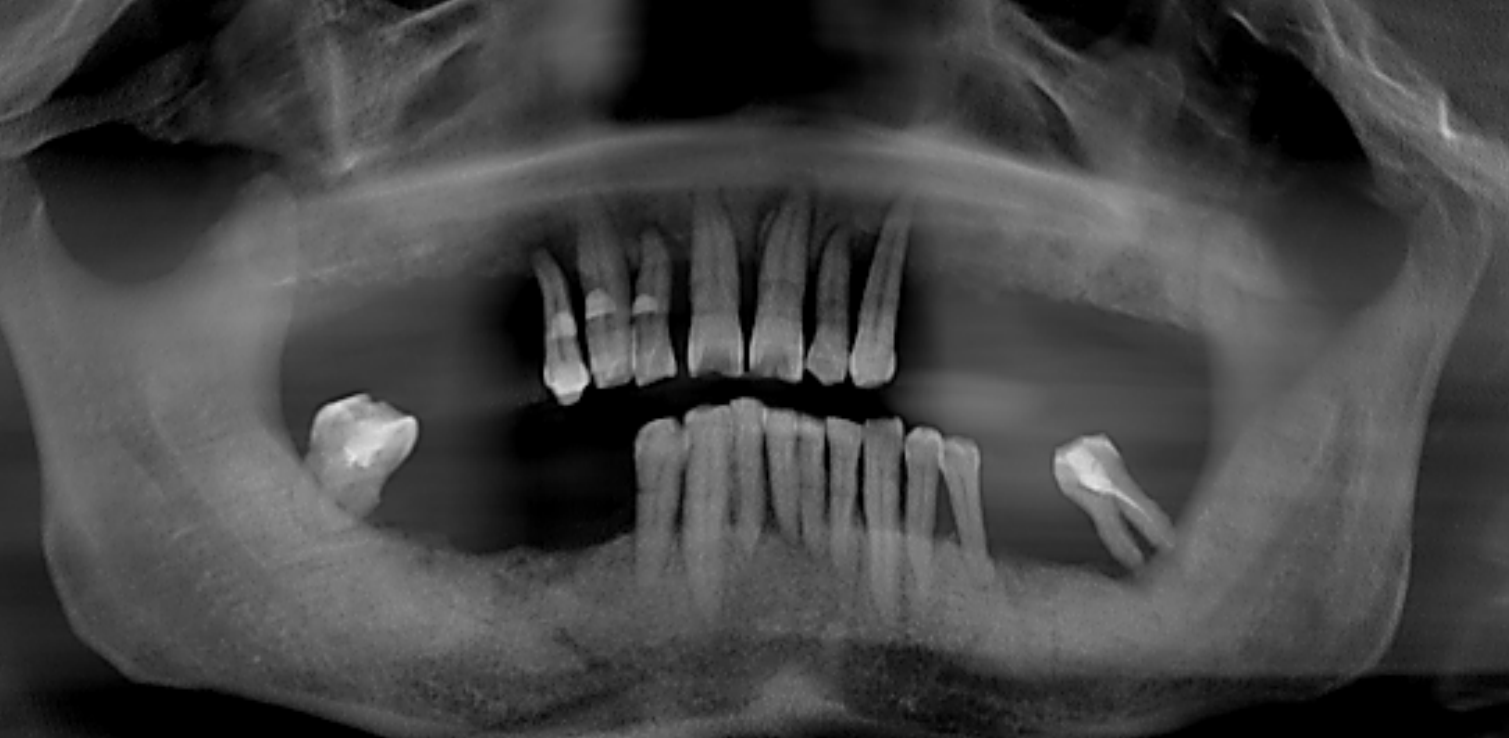
口内检查:13-23牙龈退缩,牙齿松动2-3度,14-17,24-27缺失,牙龈颜色质地正常。36,37,45,46,47缺失,下颌余留牙松动1-2度。

X线检查:上颌余留牙牙槽骨吸收至根尖1/3,预留骨量尚可,骨密度II-III类。

CT检查:后牙余留骨量高度10-12mm,前牙骨高度12-14mm,宽度均大于6mm。
诊断
1.上下颌肯氏1类缺损
2.重度牙周炎
治疗计划
1.术前⽛周序列治疗
2.术前⽛周固定,采集数据,设计导板
3.导板引导下⼿术,术后即刻修复
4.术后4个⽉进⾏数字化修复程序
5.完成修复后功能和美学验证
6.长期随访和维护
术前准备:
牙周刮治后两周复查

数据采集:
方案设计:


导板制作完成:


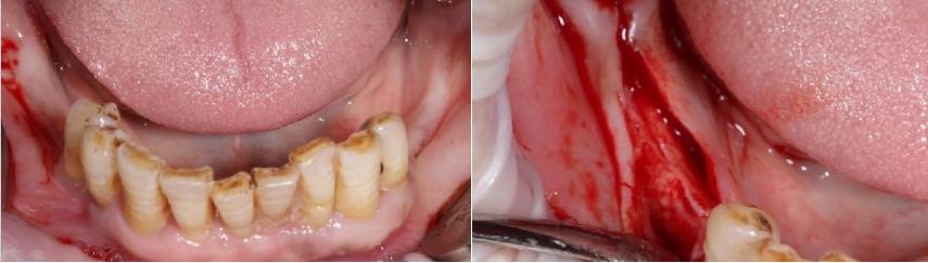
导板引导下种植手术:
上颌植入6颗中科安齿种植体




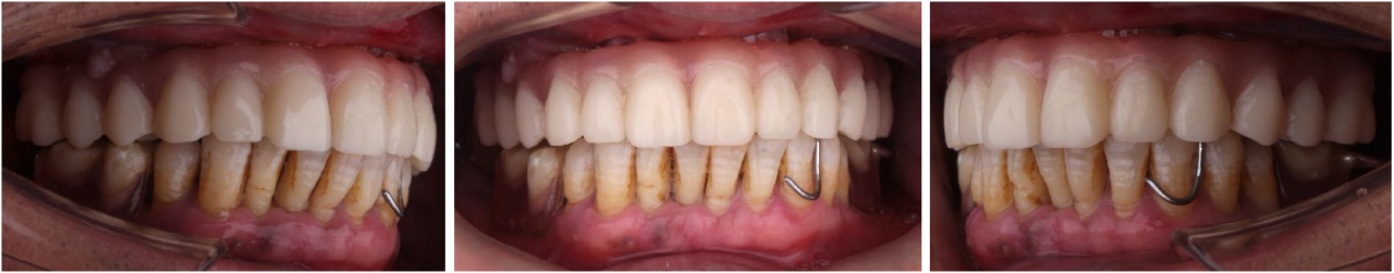
即刻修复:

术后小结
通过全程数字化导板引导精准植入6颗中科安齿种植体,并且获得非常好的初期稳定性,实现术后即刻修复,患者满意度极佳。
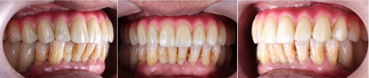
即刻修复3个月后:
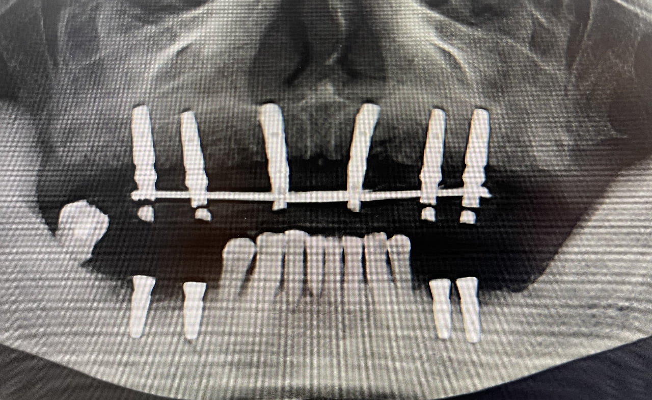
上颌边缘骨稳定,行下颌后牙区种植,下颌植入4颗中科安齿种植体



即刻修复5个月后:
边缘骨稳定,上下颌同期行永久修复




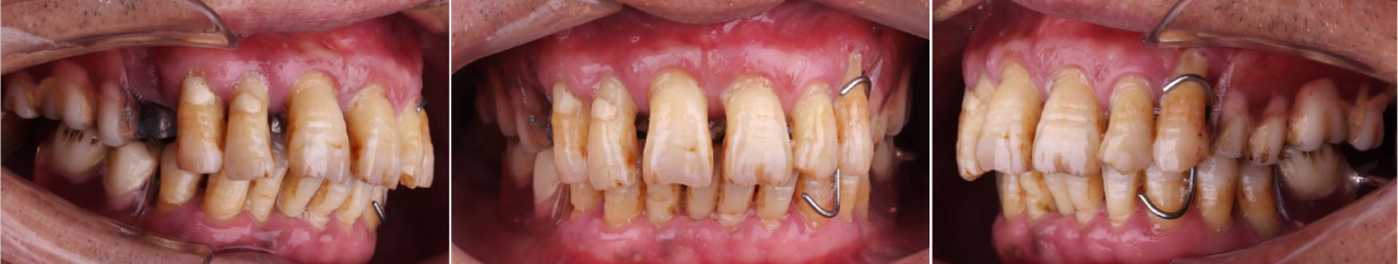
永久修复3年随访:
上下颌边缘骨稳定,零骨吸收

病例总结
通过修复后口内照观察到,美学效果良好,无基台种植体配合性能相关的周围炎。通过医学影像观察到,修复三年后种植体周围无骨吸收,患者非常满意。